reklama

Ważne zmiany dla kobiet w zakresie mammografii i cytologii. Gdzie zbadać się w Łukowie stacjonarnie? Gdzie przyjadą mammobusy?

Opublikowano: Aktualizacja: 
Autor:

Ważne zmiany dla kobiet w zakresie mammografii i cytologii. Gdzie zbadać się w Łukowie stacjonarnie? Gdzie przyjadą mammobusy? - Zdjęcie główne

reklama
Udostępnij na:
Facebook
Informacje łukowskieRak piersi to najczęściej występujący nowotwór złośliwy u kobiet. Rocznie rozpoznaje się w Polsce raka piersi u ok. 20 tysięcy kobiet. Rak szyjki macicy jest wykrywany u ok. 3 tysięcy pań rocznie. Stanowi ponad 10% nowotworów u kobiet.
reklama

Większy zakres wieku kobiet
Od 1 listopada 2023 r. profilaktyczną mammografię na NFZ mogą robić panie w wieku od 45 do 74 lat. Dzięki tej zmianie z programu profilaktycznego raka piersi może skorzystać jeszcze więcej kobiet. Do tej pory bezpłatna mammografia była dostępna dla pań w wieku 50 – 69 lat.

Zmiany dotyczą również programu profilaktyki raka szyjki macicy. Do tej pory korzystały z niego panie w wieku 25-59 lat. Od 1 listopada 2023 r. program obejmuje kobiety od 25 do 64 roku życia.

Program profilaktyki raka piersi:

 W ŁUKOWIE:  można zrobić bezpłatne badanie mammograficzne zprogramu profilatycznego w naszym szpitalu: SAMODZIELNY PUBLICZNY ZAKŁAD OPIEKI ZDROWOTNEJ W ŁUKOWIE  - PRACOWNIA MAMMOGRAFII  -  nr tel: 25 798 20 01 wew. 260

reklama

GDZIE BĘDA STAŁY MAMMOBUSY W POWIECIE? 

 21.11.2023, Łuków, Ks. Kard. Stefana Wyszyńskiego 20, mammobus przy Łukowskim Ośrodku Kultury, w godz. 9:00-17:00, nr tel.: 58 767 34 44

21.11.2023, Stoczek Łukowski, Pl. T. Kościuszki 1, mammobus przy Urzędzie Miasta, w godz. 9:00-17:00, nr tel.: 58 767 34 44

30.11.2023, Łuków, Staropijarska 3, mammobus przy NZOZ Łuksja-Med, w godz. 9:00-17:00, nr tel.: 42-254-64-11 517-544-004

PROGRAMY PROFILAKTYCZNE CYTOLOGIA W ŁUKOWIE:

NIEPUBLICZNY ZAKŁAD OPIEKI ZDROWOTNEJ ŁUKSJA-MED
PORADNIA POŁOŻNEJ PODSTAWOWEJ OPIEKI ZDROWOTNEJ
ul.STAROPIJARSKA 3, 21-400 Łuków
Telefon do rejestracji: 25 798 52 50
Telefon do informacji: 25 798 72 47

reklama

SAMODZIELNY PUBLICZNY ZAKŁAD OPIEKI ZDROWOTNEJ W ŁUKOWIE
PORADNIA GINEKOLOGICZNO-POŁOŻNICZA
AL. KOŚCIUSZKI 2, 21-400 Łuków
Telefon do rejestracji: 0257982216
Telefon do informacji: 0257982216

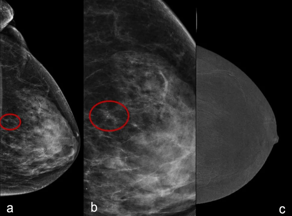
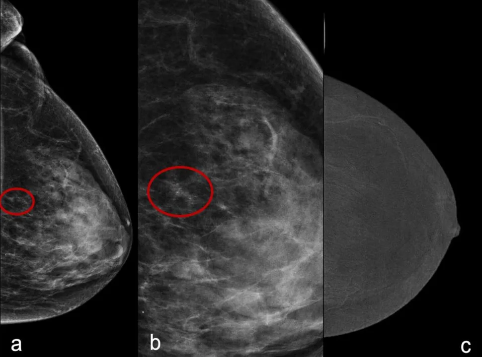
Mammografia to najbardziej czułe i bezpieczne badanie w profilaktyce raka piersi i najlepszy sposób, by wcześnie wykryć zmiany w piersi. Polega na prześwietleniu tkanek piersi promieniami rentgenowskimi. Pozwala znaleźć nieprawidłowości, zanim będzie je można wyczuć. W czasie badania wykonuje się dwa zdjęcia każdej piersi. Trwa ono kilka minut.

reklama

Program skierowany jest do kobiet w wieku od 45 do 74 lat, które:

przez ostatnie dwa lata nie miały wykonywanej mammografii
nie miały wcześniej stwierdzonej zmiany nowotworowej piersi o charakterze złośliwym
otrzymały w ramach realizacji programu pisemne wskazanie do wykonania ponownej mammografii po upływie 12 miesięcy
 

Profilaktyczna cytologia także obejmie więcej kobiet

Regularne badania cytologiczne pozwalają wykryć zmiany przedrakowe i raka szyjki macicy  we wczesnym – uleczalnym – stadium choroby. Badania dowodzą, że 1,5- 2% rozmazów cytologicznych jest nieprawidłowych i wymaga dalszej diagnostyki.

reklama

Na profilaktyczną cytologię nie trzeba skierowania. Badanie jest bezpłatne, finansuje je Narodowy Fundusz Zdrowia.

Panie powinny robić profilaktyczne badania cytologiczne:

co trzy lata
co roku u kobiet obciążanych czynnikami ryzyka (tzn. zakażonych wirusem HIV, przyjmujących leki immunosupresyjne, zakażonych HPV — typem wysokiego ryzyka).
Jak wziąć udział w programie?

Często jest tak, że w początkowym okresie te choroby nowotworowe nie dają żadnych objawów. Natomiast wcześnie wykryte są niemal w 100% uleczalne. Trzeba badać się systematycznie, żeby nie dopuścić do rozwoju choroby. Dlatego tak ważne jest regularne wykonywanie badań profilaktycznych  – mówi Dagmara Marczewska, zastępca dyrektora ds. medycznych Lubelskiego Oddziału Wojewódzkiego NFZ. Żeby skorzystać z programu profilaktycznego finansowanego przez NFZ nie jest potrzebne skierowanie. Wystarczy zgłosić się do placówki, która taki program realizuje – dodaje dyrektor Marczewska.

W województwie lubelskim jest 14 pracowni stacjonarnych, gdzie można wykonać badanie mammograficzne. Po drogach województwa jeżdżą też mammobusy, które docierają do wielu mniejszych miejscowości. Adresy wszystkich pracowni oraz harmonogram postoju mammobusów jest dostępny na stronie internetowej Lubelskiego NFZ.

Badanie cytologiczne w ramach programu można zrobić w poradni położniczo-ginekologicznej lub w gabinecie położnej POZ. Lista poradni i gabinetów także jest dostępna na stronie www.nfz-lublin.pl w  zakładce „Profilaktyka zdrowotna”

reklama
reklama
Udostępnij na:
Facebook
wróć na stronę główną

ZALOGUJ SIĘ

Twoje komentarze będą wyróżnione oraz uzyskasz dostęp do materiałów PREMIUM

e-mail
hasło

Zapomniałeś hasła? ODZYSKAJ JE

reklama
Komentarze (0)

Wysyłając komentarz akceptujesz regulamin serwisu. Zgodnie z art. 24 ust. 1 pkt 3 i 4 ustawy o ochronie danych osobowych, podanie danych jest dobrowolne, Użytkownikowi przysługuje prawo dostępu do treści swoich danych i ich poprawiania. Jak to zrobić dowiesz się w zakładce polityka prywatności.

Wczytywanie komentarzy
reklama
reklama
logo